- DanielInvisalign before Full Mouth Reconstruction
Before
After
'Good Things Come to Those Who Wait'
Before undergoing a full mouth rehabilitation, Daniel first had Invisalign in order to minimize how much was needed to cut or reduce off his existing teeth. With full crowns in posterior and veneers in anterior, we changed his facial profile and achieved a beautiful smile he can be proud of. - FallonFull Mouth Reconstruction
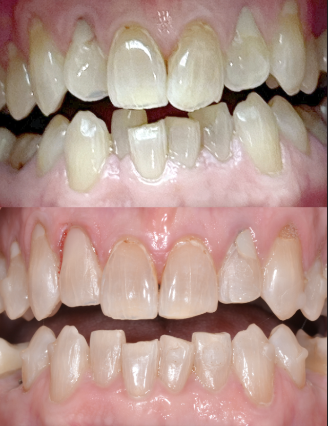
Before
After
"Everything went very well... it has become very natural and I absolutely love the results! Everyone has been very impressed"
Video Image Placeholder - EvelyneInvisalign & Upper Arch Rehabilitation
Before
After
"It was really really well planned. I had a really good idea from the beginning what the steps were going to be... My kids and my husband, they all say they look really good, but not out of place or unnatural."
Video Image Placeholder - EileenInvisalign
Before
After
"Before I got Invisalign, for three years I couldn't chew on one side of my mouth because my teeth were so off. It gave me a lot of pain. The Invisalign just took that all away and my teeth had never felt better."
Video Image Placeholder - Invisalign
Before
After
"I love them. I can smile, I can laugh. I don't have to cover my mouth all the time, and people are really kind."
Video Image Placeholder - MatthewFull Mouth Reconstruction
Before
After
“When I came here, I was pleasantly surprised that he immediately laid out a plan of action and was clear about how I was going to look, how things were going to progress and what needed to be done. Dr. Robert Rioseco and his staff are fabulous!”
Video Image Placeholder - CarlosLaser Removal of Blood Blister
Before
After
“This is a very common lesion usually found on the lower lip. It usually comes from having bitten one's lip. That forms a small blood clot directly under the skin of the lip. This patient had the lesion for thirty years. He had been told by multiple doctors it could not be removed, yet we removed it in less than five minutes, with no anesthetic shot. The procedure is done with just topical anesthetic and a laser. Once removed, these lesions never come back. This after picture was taken 6 months post op.”
Video Image Placeholder - MarionPorcelain Veneers and Dental Crown
Before
After
“Once you get started and you see what an improvement it makes, and with minimal downtime, it's amazing. I really appreciate everything you have done for me.”
Video Image Placeholder - CatherineLaser gum treatment
Before
After
“It was amazing because something that has really bothered me for almost 15 years was fixed in 15, maybe 20 minutes. It was such an instant difference to me...but then also the next few days was before my birthday..it was incredible how much easier I found it to have my picture taken, to smile, to be excited to smile, to have people notice that I was smiling bigger.”
Video Image Placeholder - MaritzaOrtho
Before
After
“Once you commit to the change, the rewards are worth the little bit of time you put in...I trust the work implicitly and I trust you implicitly.”
Video Image Placeholder - Mike
Before
After
“Mike’s bite was never right. It caused him to grind his teeth into each other until they began to chip and crack. Another dentist tried to perform a procedure known as “bonding” on the front teeth, but they still broke.
Dr. Rioseco used computers to analyze Mike’s bite and found that in order to make the case work, Mike needed some lower teeth treated as well.”
Video Image Placeholder - Bill
Before
After
“I thought I was going to lose all of my teeth. My gums are healthy and my teeth look great! I can smile again. I would not consider going to anyone else. I wish all Doctors were like him.”
- Anne
Before
After
“I had great reservations, at my age, of undergoing reconstruction of my dental problems. I realized, however, that I was becoming more and more embarrased by my appearance. I couldn’t be more pleased! Not only am I much more comfortable physically, but I am, at last, at ease with my appearance, age or no age.”
- Kayla
After
“Kayla permenantly damaged her two front teeth in an accident when she was nine years old. Dr. Rioseco helped salvage what was left of the teeth until she was old enough to have implants.
After ten years of adjunctive care, Kayla was old enough to have her damaged teeth removed and implants put in.”
- JuliaBroken Tooth
Before
After
“After I broke my right front tooth during a game of frisbee, I was anxious to find a good dentist I could trust. Dr. Rioseco assured me he could have a new tooth made that would blend in seemlessly and perhaps even better than the original tooth which had slightly overlapped the tooth to the right.
The technology he used in his office was more advanced than I had ever exprerienced in a dentist’s office. He was able to generate a new temporary tooth, modify it and even make a second one until he was satisfied with the result.
The final tooth was produced in a lab. The shape, level of detail and coloration matched great and I was very pleased with the result.”
- Wanda
Before
After
- Gunther
Before
After
“I feel like a movie star! Since Dr. Rioseco has given me a new smile I feel like a new person. I’ve gone back to the gym and I’m getting in shape.
My friends and family say I look 20 years younger, and that’s how I feel.”
- Jesus
Before
After
- TammyPorcelain Laminate Veneers
Before
After
- SherylSafe Amalgam Filling Removal

“I have wanted to get my amalgam fillings removed for quite some time, but put it off because it was cost prohibitive. My naturopath strongly urged me to get it done asap due to the current research on the effects of mercury leaching out. While at The Center of Cosmetic Dentistry for a Zoom teeth whitening treatment, I asked Dr. Rioseco if he has trained in the proper removal of amalgam fillings - he said that he has trained in it and follows the recommended procedures. I found his pricing to be very reasonable, so I went ahead and had 7 fillings removed. It turns out that two of my teeth had cavities under the silver fillings, clearly the fillings had failed, and two of my teeth were badly cracked. All in all I needed a crown and two overlays. In total the procedures only took 2 hours on each side, because of the offices high technology I had my crown down in one session - with no problems, a perfect fit. This may sound odd, but I can honestly say that my experience was pleasant, the office is really nice, staff is friendly and kind. I am really happy that I had this done, I had no idea that I had cracked teeth or cavities underneath the silver fillings - clearly my 45 year old fillings had failed and were leaking mercury into my system, possibly for years.”



