Skip to main content
Menu
(914) 761-8229
Contact Us
Schedule Online
Forms and Payment
Home
Meet Dr. Rioseco
Meet Dr. Healy
About Us
About Us
Our Technology
Our Technology Overview
Digital Smile Design
Dental Financing
Practice Specials
Blog
News Room
Dental Services
Dental Services Overview
Cosmetic Dentistry
Cosmetic Dentistry Overview
Porcelain Veneers
Cost of Porcelain Veneers
Teeth Whitening
Invisalign
®
Cost of Invisalign
®
Smile Makeover
Digital Smile Design
Laser Gum Lightening & Depigmentation
Laser Gum Lift
Direct Bonding
Replacement Fillings
Cosmetic Procedure Costs
Reconstructive Dentistry
Reconstructive Dentistry Overview
Dental Implants
Cost of Dental Implants
Implant Dentures
Full Mouth Reconstruction
All-On-4
®
Dental Bridges
CEREC
®
Same-Day Crowns and Restorations
Oral Surgery
Reconstructive Procedure Costs
Preventive Care
Preventive Care Overview
Oral Cancer Screening
Smile Evaluation and Cleaning
Periodontal Services
Root Canal Therapy
General and Preventative Procedure Costs
Sleep Apnea
Skin Treatments
Skin Treatments Overview
Liplase
Smooth Lase
Spider Veins
Testimonials
Testimonials
Online Reviews
Smile Gallery
Contact
Forms and Payment
Email Us/Appointment Request
Virtual Consult
Dental Financing
The Center for
Cosmetic Dentistry
Home
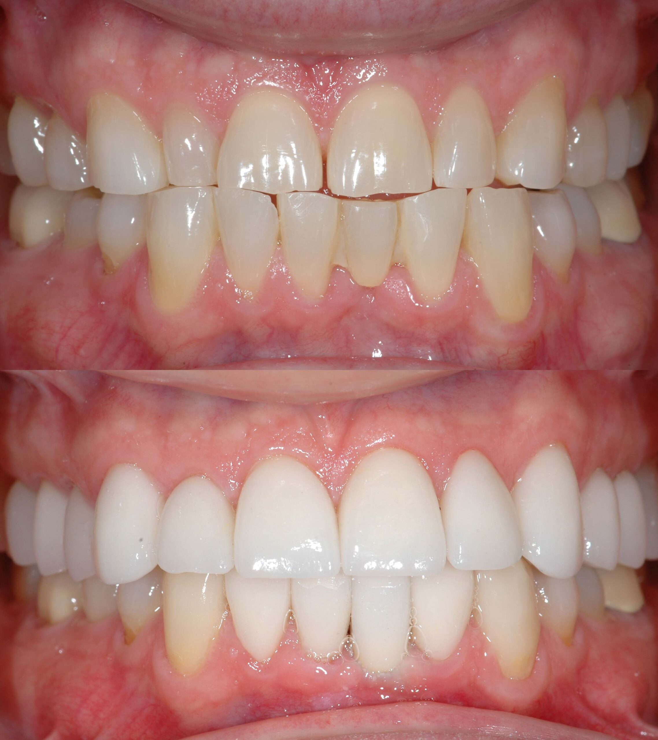
REHAB 10
Previous Post
Related Pages
Accessibility Statement
Implant Dentist Martin Healy, DMD
Privacy Policy
sitemap
Home
About Us
Cosmetic Dentist Robert Rioseco, DMD, FAGD, AAACD
Blog
Services
Cosmetic Laser Skin Treatments
Testimonials
Smile Gallery
Contact